呼吸器系
2015.01.30
石綿肺疾患の診断のポイン 三浦 溥太郎 先生
015年1月25日 横浜情報文化センター
演題「石綿・石綿によるびまん性胸膜肥厚、石綿による肺がん診断のポイント」
演者:横須賀市立うわまち病院 三浦 溥太郎 先生
内容及び補足「
アスベスト疾患は
① 悪性腫瘍と非腫瘍性疾患(炎症・線維化)
② 病変としては肺実質と胸膜
③ 胸膜病変の場は、壁側胸膜と臓側胸膜
に分けられる。
石綿:アスベストは蛇紋石族のクリソタイル(白石綿)と角閃石族の吹付石綿として使われていたクロシドライト(青石綿)とアモサイト(茶石綿)および他の石綿の不純物として含まれるアンソフィライト石綿、トレモライト石綿、アクチノライト石綿に分けられる。
極めて細い繊維で、熱、摩擦、酸やアルカリにも強く、丈夫で変化しにくいため、建材(吹き付け材、保温・断熱材、スレート材など)、摩擦材(自動車のブレーキライニングやブレーキパッドなど)、シール断熱材といった様々な工業製品使用されたが、肺がんや中皮腫を引き起こすことがわかり、現在では原則として、製造および使用が禁止されている。


繊維を拡大してみてみると、クリソタイル繊維は柔らかくたわんでいるが、クロシドライト繊維は直線状で細い。

吸入されたアスベスト繊維は気管から細気管支を経て肺胞に到達し、臓側胸膜を通過して壁側胸膜へと移動していく。
肺がんが出現するまでに30年程、臓側胸膜を通過し、壁側胸膜に移動するまでに約10年かかるため、胸膜中皮腫が出てくるまでに40年程の経過がかかると考えられている。
高濃度の暴露があれば、より早く疾患が出現するし、腹腔内中皮腫も出現する。横隔膜の間隙を伝わって腹腔へ移動したためと考えられている。

アスベストに鉄蛋白が付着し、20~30μm大の串刺し団子のようなアスベスト小体となり無害化していると考えられている。

それをマクロファージが貪食するが、このマクロファージからいろいろな生理活性分子を放出して炎症を起こしたり、場合によっては、マクロファージが破壊されるような状況も生じてくる。


http://wsh.med.uoeh-u.ac.jp/asbestos/book/tokuhon/5.html
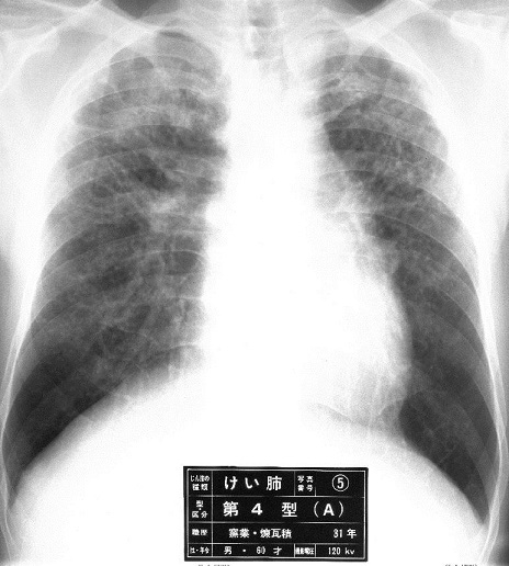
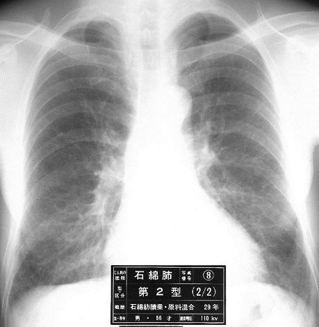
遊離圭酸によるじん肺である珪肺のレントゲン像は、上肺野優位の粒状影、大陰影が特徴的である。

一方石綿肺は下肺野優位の不整型陰影が出現する。

石綿肺Asbestosis:石綿粉じんを吸入することによって肺に生じた線維増殖性変化を主体とする疾病=石綿粉じんによる肺線維症+気道の慢性炎症
・下肺野優位の不整型陰影
・アスベスト高濃度暴露者に多い
・徐々に発症し、緩やかに進行する
・診断は胸部X線写真による
下肺野優位の不整型陰影を「じん肺標準エックス線写真」と比較して判定することになる。
0型(-/1、0/0、0/1):PR0
1型(1/0、1/1、1/2):PR1
2型(2/1、2/2、2/3):PR2
3型(3/2、3/3、3/+):PR3
の12通りの診断となり、Ⅰ刑以上の所見がある場合、石綿肺と診断することになる。
石綿肺と鑑別すべき疾患としては、
石綿によらない間質性肺炎/肺線維症(膠原病、薬剤性、特発性間質性肺炎)と胸膜プラーク・びまん性胸膜肥厚がある(胸膜病変は肺実質の病変ではない)。
経過が大事で、石綿肺は徐々に変化していく。
特発性間質性肺炎の変化は肺実質から生じて、細気管支をけん引するために拡張してくるが、石綿肺の場合には、石綿が沈着してくるので細気管支の拡張はない。

鑑別すべき疾患である特発性肺線維症は、上記理由から線維化により細気管支が拡張している像がみられることが多く、石綿肺の場合にはこの所見がないことが判断材料の一つになる。しかし、進行部分は他疾患との鑑別にあまり役立たない。

石綿肺の初期病変としのCT所見としては、
① 胸膜下粒状像 dot-like lesion

② 小葉中心性分岐状像
③ 胸膜下曲線様陰影 subpleural curvilinear sjadpw(SCLS)

④ スリガラス状陰影

⑤ 小葉間隔壁肥厚像
がある。
http://www.jsomt.jp/journal/pdf/055040172.pdf
所見としてのSCLSの読影の際には、肺内の水分が重力により下方に集まってSCLS様陰影を呈することがある点に注意が必要で、腹臥位のCTを取ると消失するので、鑑別は可能である。

石綿肺の診断として必要な要件としては、以下のものが挙げられる。
① 明らかな石綿暴露歴:高濃度暴露、潜伏期間はおおむね15年程度であるが、超高濃度暴露例は短期間での発症がある。
② 1型(PR1)以上の下肺野優位の不整型陰影
③ 進行が緩やかなこと
石綿肺癌
① 1型以上の石綿肺のある肺癌(石綿肺合併肺癌)
② 石綿肺のない肺癌
石綿肺がんの特徴
① 潜伏期間:平均30年
② 組織型・治療法は通常の肺がんと変わらない
③ 喫煙により相乗的に増加する

肺癌と中皮腫
① 中皮腫様発育をする肺癌:腺癌が多い

② 中皮腫と似た免疫染色傾向を示す肺癌:多形癌

石綿肺癌申請時のポイント
① 原発性肺がんであること
② 石綿による肺がん発生の相対危険度が2倍以上
1. 吸入アスベスト量 ≧25繊維・年/ml
2. 肺内アスベスト小体数 ≧5000本/g(乾燥肺) or 5本/ml(BALF)
3. 肺内アスベスト繊維数
5μm以上の繊維 ≧200万/g(乾燥肺) or
1μm以上の繊維 ≧500万本/g(乾燥肺)
4. 胸膜プラーク+肺線維化所見
5. 胸部X線写真:明らかな胸膜プラーク、胸部CT:胸壁の1/4以上
繊維・年:吸い込んだ空気中のアスベスト繊維の濃度×年数

胸膜プラーク:胸膜肥厚斑、胸膜版、限局性胸膜肥厚のことで
① 壁側胸膜の線維化病変
② 表面は正常な中皮細胞層でおおわれている
③ 徐々に石灰化するので石灰化プラークと非石灰化プラークに分けられる
④ 石綿暴露から約20年程の経過で認められるようになる
⑤ 高濃度暴露者ばかりでなく、低濃度暴露者にも出現する
胸膜プラークのできやすい場所は横隔膜上、側胸壁、傍椎体、心外膜であり、逆にできにくい場所は肋横角部分と肺尖部である。



石綿による胸膜プラークと鑑別が必要な病態としては以下のものがある。
① 結核性胸膜炎後の石灰化病変

② 肺尖肥厚
③ 胸膜下脂肪層

④ 肋間静脈

⑤ 胸膜直下肺野病変

https://www.rofuku.go.jp/Portals/0/data0/sanpo/kadai/pdf_slide/h18/h18slide_hyogo.pdf
⑥ 胸横筋 第Ⅱ~Ⅳ肋軟骨路胸骨下を結ぶ筋
胸膜プラークの検出率は、単純レントゲンでは35%程度であること、CTも撮影条件によっては1/3程度描出できない点注意が必要である。

アスベストによる非腫瘍性胸膜病変
① 胸膜プラーク
② 良性石綿胸水
③ びまん性胸膜肥厚
④ 円形無気肺
良性石綿胸水
① 明確な石綿暴露歴があること
② 診断は種々の胸水貯留疾患除外診断による
③ 血清胸水の比率が比較的高く、時に好酸球の多い胸水も見られる
④ 同側または対側に再発を繰り返すことが多い
⑤ 後にびまん性胸膜肥厚や、時に胸膜中皮腫が生じることがある
びまん性胸膜肥厚 Diffuse pleural thickening
病理学的:びまん性胸膜線維症:臓側胸膜の広範な線維性肥厚
原因は石綿以外にもいろいろとある
診断基準:両側:側胸壁の1/4以上、片側:側胸壁の1/2以上:臓側胸膜の肥厚を示す所見。
鑑別すべき疾患:
① 感染症(細菌性膿胸、結核性胸膜炎)
② 膠原病(リウマチ性胸膜炎ほか)
③ 薬剤性線維性胸膜炎(麦角アルカロイドほか)
④ 放射線治療後
⑤ 外傷性血胸後
⑥ 冠動脈バイパス術等の開胸術後
⑦ 尿毒症性胸膜炎
⑧ 悪性腫瘍
悪性胸膜中皮腫は縦隔側の胸膜肥厚が出てくる点でびまん性胸膜肥厚と異なるので、びまん性胸膜肥厚患者の経過観察中で縦隔側の胸膜肥厚を認めた際には、悪性胸膜中皮腫の合併を考え、精査をする必要がある。

各疾患と石綿の暴露濃度と潜伏期間を図示すると下図のようになる。

参考サイト:
胸部CT画像の見方と石綿関連疾患の病理所見に対応するCT所見
平成17年度兵庫産業保健推進センター調査研究
画像で見る今日のじん肺症例選集
医学的判定にかかわる資料に関する留意事項
石綿肺問題の現状と課題に関する有識者の見解
石綿による疾病の認定基準に関する検討会





















