川村所長の勉強会参加記録
2016.11.28
筋萎縮性側索硬化症 山口 滋紀先生
2016年11月03日
演題「筋萎縮性側索硬化症」
演者: 横浜市立市民病院神経内科部長 山口 滋紀先生
場所:神奈川県総合医療会館
内容及び補足「
運動ニューロンとは
骨格筋を支配する神経細胞であり、細胞体は主に大脳皮質の運動野、脳幹と脊髄前角にある。
上位運動ニューロン:大脳皮質運動野や脳幹から脊髄前角細胞まで。
下位運動ニューロン:脊髄前角細胞。以下

http://nannet.org/als/kisotisiki.html
肩に何か触れるとその感覚情報が第1ランナーの感覚神経を介して脊髄に入る。
その情報は脊髄で第2ランナーのニューロンにバトンタッチされ、脊髄の反対側に交差した後、脳に向かって上昇する。間脳の視床で第3ランナーにバトンタッチして大脳皮質の体性感覚野に情報が伝達される。
運動野の部位によって動かす筋肉が決まっており、その部位のニューロンから運動指令が出ると、途中、延髄の錐体で反対側に交差した後、脊髄の中を下行する。脊髄の筋肉を動かす第2ランナーにバトンタッチして、筋肉に動かす指令を出す。


https://www.kango-roo.com/sn/k/view/1989

http://www.als.gr.jp/public/als_about/sickstate/sickstate_02.html
運動ニューロン疾患(Motor Neuron Disease)
筋萎縮性側索硬化症(Amyotrophic Lateral Sclerosis)
孤発性
家族性(常染色体性優性、劣性)
脊髄性進行性筋萎縮症(Spinal Progressive Muscular Atrophy)
球脊髄性筋萎縮症(Spinal and Bulbar Muscular Atrophy:Kennefy-Alter-Sung症候群)伴性劣性遺伝
疫学
1年間に人口10万人当たり1.1~2.5名が発症し、有病率は7~11人/10万人と推計される。
家族歴のある患者の割合は約5%である。

最大のリスクは年齢であり、50後半から~70歳代で最も発症率が高い。
男性の発症が女性に比べ1.3~1.4倍高い。

孤発例では、発症から死亡または侵襲的換気(intensive ventilation:IV)が必要となるまでの期間の中央値は、20~48ヶ月と報告されているが個人差が大きい。
日本では和歌山県・奈良県の紀南地方に多く(認知症、パーキンソニズムを伴う特殊な病型が多い)、高齢化とともに有病率は増えており、10万人当たり数人~10人前後に達する。
海外ではグアムのチャモロ族に日本の紀南地方と同様な特殊な病型のALSの発症が多い。
筋肉が委縮し、脊髄の側索が硬化する病気である。


1869年フランスの脳神経内科医シャルコーによって初めて報告された疾患。
ヨーロッパではシャルコー病ともいわれるが、アメリカではヤンキースの往年の打撃王ルー・ゲーリックがこの病気であったことから、ルー・ゲーリック病といわれている。
上位運動ニューロン障害による症状
痙性(ツッパリ)
深部腱反射亢進
病的反射陽性

下位運動ニューロン障害による症状
筋力低下
筋萎縮

筋線維束攣縮(筋肉のぴくつき):Fasciculation
https://www.youtube.com/watch?v=AhI5U5KWvRI
球麻痺:延髄の運動神経核(9,10,12)の麻痺によって生じる。
嚥下障害(ものが飲み込みにくい、むせる)
構音障害(呂律が回らない、声が鼻に抜ける)
舌の運動障害(筋力低下、筋萎縮)

仮性球麻痺:9,10,12神経核より上位の皮質延髄路の障害によって生じる。
実際には延髄は障害されていないのに、似たような症状が出現する。
両側の障害によって生じる。
呼吸筋麻痺
安静時、吸気時(外肋間筋、横隔膜)、呼気時(下がった横隔膜がもとの位置に戻ることによって息が吐かれる)。
努力呼吸時

http://www.geocities.jp/zgenboku/chapter1.html
⇒呼吸筋麻痺が生じると:労作時の息切れ、肺活量の低下、呼吸困難が生じる
ALSの臨床経過
人工呼吸器開発(1970年代)前では呼吸筋麻痺の出現=死であり、平均約3年の経過で死に至る病であった。No Cause, No Cure, No Hopeとも言われていた。
医療父権主義(Medical Paternalism):患者の最善の利益の決定権は医師側にある。患者も病気のことがわからないために医師に依存する。
ポータブル呼吸器の出現(1980年代)以降では、呼吸筋麻痺≠死となり、医療機関においてのみならず、自宅において人工呼吸器の装着も可能となり、10年以上の生存者も出てきた。
患者主権主義(Patient Sovereignty):患者は医療に関することであっても、自分のこと、自分の健康にかかわることは自分で決める権利を有する。情報提供の義務も技術提供の義務も医師側にあるが、それを決定するのは患者側である。自己決定(autonomy)

ALSと認知症(前頭側頭型認知症)の合併
前頭側頭型認知症を合併する場合がある
1. 遂行機能障害:順序立てた行動がとれない
2. 行動異常:問題行動、常同行動など
3. 言語障害:失語など
前頭側頭型認知症(Pick病またはFTD:Frontotemporal dementia)は、人格変化や行動異常に特徴づけられる症候群。50~60歳代を中心に発症する。タウ蛋白質、TDP-43(Transactive response DNA binding of 43kD)、FUS(Fused in sarcoma)などの蛋白質の蓄積がみられる。経過は緩徐進行型で、平均約8年で寝たきり状態になり死亡する。

https://bsd.neuroinf.jp/wiki/%E5%89%8D%E9%A0%AD%E5%81%B4%E9%A0%AD%E5%9E%8B%E8%AA%8D%E7%9F%A5%E7%97%87
ALSの病型分類(代表的な3型)
通常型(Alan Duchenne type):上肢の筋萎縮と筋力低下が主体で、下肢は痙縮を示す上肢型
進行性球麻痺型(PBP:Pseudo Bulbar Palsy):言語障害、嚥下障害など球症状が主体となる球型
偽多発神経型:下肢から発症し、下肢の腱反射低下・消失が早期からみられ、二次運動入論の障害が前面に出る下肢型。
他にも、呼吸筋麻痺が初期から生じる例や、体幹筋障害が主体となる例などもあり多様性がみられる。
ALSの症状:初期症状
手や指、足の筋肉が弱くなりやせ細る
ALSの患者さんの約3/4の人が手足の動きに異常を感じて病院を訪れる。
箸が持ちにくい、重いものを持てない、手や足が上がらない、筋肉がぴくつく、筋肉の痛みやツッパリなどの自覚症状があるなど。
話しにくくなったり食べ物を飲みにくくなる(球症状)
舌、ノドの筋肉が弱くなる。ALSの患者さんの約1/4が、球症状を最初に訴える。
舌の動きが思い通りにならず、言語が不明瞭になる(コミュニケーション障害)
食べ物や唾液を飲み込みにくくなり、むせることが多くなる(嚥下障害)
ALSの症状:進行すると
全身の筋力が弱くなる
運動、コミュニケーション、嚥下、呼吸などの障害が進行する
次第に手足の筋肉が痩せてきて、力が入らず歩いたり動いたりすることが困難になる。
言葉を発することが困難になる。
食べ物を飲み込めなくなり、チューブを通した栄養が必要になる(経管栄養)
呼吸筋の筋力低下により呼吸困難を生じる。初期には夜間十分眠った気がしない、頭重感などの症状だが、徐々に進行すると呼吸器の補助が必要となる。
ALSでは現れ難い4つの症状
1. 眼球運動障害:目の動きは障害されないことが多い。『瞬きワープロ』を使って瞼と眼球の動きで意思表示が可能である。
2. 膀胱直腸障害:膀胱直腸障害はほとんどない。尿意・便意の感覚も正常である。
3. 感覚障害:視覚・聴覚・嗅覚・味覚・触覚などの知覚神経は正常である。
4. 床ずれ:褥瘡になりにくい。皮膚のコラーゲンの変化が生じていると考えられている。
ALS診断手順と診断の困難さ
緩徐進行性の上位および下位運動ニューロン障害を示唆する所見を確認し、他の疾患を除外する。
約20%の患者さんで類似の神経疾患(頸椎症、筋疾患、末梢神経障害など)との鑑別が問題になる。
MRI等の画像診断、針筋電図、神経電速度検査等の諸検査を施行する。
ALSの初期症状を自覚した時に受診した診療科は、整形外科30%、一般医28%、脳外科10%耳鼻科4%と多岐にわたっている。

初発症状を自覚してからALSの確定診断を得るまでにかかった時間は、岩崎氏の調査では、日本で平均12.9ヶ月を要しており、スペインでは15.3ヶ月、イタリアでは21.9ヶ月かかっている。


検査所見
筋電図

神経原性電位:神経変性のため脱神経状態になった後、残存する運動単位MU(Motor Unit)の側がより再生が生じ、一つのMUが支配する筋線維数が増大するために、高振幅で持続時間の長いMUP (Motor unit action potential)となり、MU数は減少する。

運動単位電位(Motor Unit Potential)
弱随意収縮による運動単位の評価:ここのMUが分離されて記録されるように、針の位置、収縮の力などを加減する。
正常波形:3相程度、振幅:0.4~1.0mV程度、持続時間:4~15msec程度

異常
神経原性:High amplitude(Giant Spike)高振幅電位:3mV以上、Long duration持続時間が長い:20msec以上、Polyphasic 多相性電位:5相以上

筋原性:Low amplitude低振幅電位:0.2~0.3mV以下、Short duration持続時間は長くならない、Polyphasic 多相性電位:5相以上

安静時正常筋電図:振幅のレンジは200μV/div

神経変性が脱神経状態になった後、残存するMUの側がより上図のように再生が起こり、再生が完成すると、一つのMUが支配する筋線維数が増大するため、高振幅で持続時間の長いMUPとなるが、MU数は減少する。

線維束攣縮(Fasciculation):一つのMUPの自発性放電で、筋萎縮性側索硬化症では四肢筋でよく観察されるが、正常でも見られる。

ビギナーのための筋電図(EMG)入門
http://www2.oninet.ne.jp/ts0905/emg/emgsemi.htm
干渉波:随意収縮時に複数のMUAPが重合して生じる電気的筋活動。
正常では、筋出力が増大すると干渉波が筋電計のモニターが画面上を埋め尽くす「完全干渉」に到る。神経疾患で運動単位の脱落が著しい場合、最大随意収縮時においても干渉波の形成が不十分となる(減少動員:poor recruitment)。

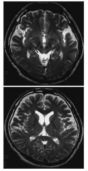
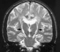
ALS診断のための検査:MRI
ALSでは通常MRIでは異常所見は見られないが、他疾患の鑑別が主な役割。
時にFLARIRやT2強調画像で、皮質脊髄路にそって高信号が認められることがある。
内包後脚および大脳脚に淡いT2高信号が認められる。

大脳脚レベル以下や中心前回皮質下まで続く高信号はALSの病的変化と考えられる。
T2強調像や磁化率強調像で中心前回皮質の信号がみられる頻度が高い。

http://radbeginner.blog.fc2.com/blog-entry-134.html
ALS早期診断によるメリット
患者さんの不安を取り除き、ALSに対する理解を深め、早期に「受容」のプロセスへ導くことができる。
薬物療法や理学療法などのリハビリテーションを早期から開始できる。
将来出現してくる症状を事前に知ることにより、新たな生活や環境を整えるための時間を多く確保できる。
各種支援制度への申請・受給を早くおこなえる。
ALSの治療
薬物療法:根本的な治療法は現時点では存在しない。
リルゾール(リルテック):欧米で施行された1994年の155例に投与された臨床試験でALS患者の生存期間が延長し、特に球型でより明らかであった、筋力低下の進行速度が遅延したとの知見も得られた。日本人を195人対象にした臨床試験が1997年におこなわれたが、実薬群とプラセボ群では差がなく、有意な効果を認めなかった。
https://neurology-jp.org/guidelinem/pdf/als_10.pdf
エダラボン(ラジカット)
ALS137名に対して、二重盲検並行群間比較により、ラジカット60㎎を6クール投与した時の臨床研究でALSFRS-Rスコアの低下が緩やかであった。

https://medical.mt-pharma.co.jp/intro/rct/als/test.shtml
ALSFRS-R(ALS機能評価スケール)
人工呼吸器による呼吸管理
呼吸筋の麻痺が強く、気管切開では呼吸が維持できない場合、希望があれば人工呼吸器の使用を行う。
栄養・食事
少量で十分な栄養が取れるよう高栄養の食事を主体とする。

(Lancet 2014;383:2075-72)
適度なトロミ、粘度、水分を持った食品
嚥下障害が強く口から食べられない場合は、経鼻経管栄養、胃瘻増設を考慮する
http://www.nanbyou.or.jp/entry/52
参:
座談会:ALSの早期確定診断
日本ALS協会
すべてがわかるALS・運動ニューロン疾患
人工呼吸器装着中の在宅ALS患者の療養支援 訪問看護従事者マニュアル
医療ニーズの高い難病患者支援の手引き~筋委縮性束察硬化症患者への支援~
日本神経学会 筋委縮性硬化症診療ガイドライン2013





















