川村所長の勉強会参加記録
2017.03.09
左室肥大でMRIまで撮る? 納富雄一先生
2017年2月22日
演題「左室肥大でMRIまで撮る?」
演者:けいゆう病院心血管画像センター部長 納富 雄一 先生
場所: ローズホテル横浜
内容及び補足「
良性の心臓
↓↑
肥大型心筋症←左室肥大→スポーツ心臓
↓↑
高血圧性心臓
左室肥大は肥大型心筋症となると問題があるが、スポーツ心臓は問題ないのか、左室肥大自体問題があるのではなか、この点について考えてみました。
心臓のMRI検査はMRI施行例の1%程度である。けいゆう病院では、年50人程度であり、一般的な頻度と同じ程度である。
自分が健診で心電図をチェックしていた間の4144人の所見を見てみると、82%が正常、洞性不整脈4%、不完全右脚ブロック4%、左室肥大3.4%、心室性期外収縮1.3%、完全右脚ブロック1%、上室性期外収縮0.6%、陳旧性心筋梗塞0.3%、心房細動0.2%という頻度であった。
横浜市男性180万人の3%に左室肥大があるとすると6万人が該当することになる。
心電図で左室肥大がある人2688人にTelmisaltanを、2655人にPlaceboを投与し、変化を見てみると、12.7%→10.5%→9.8%と治療群では左室肥大の頻度が減少したが、Placebo群では12.8%→12.7%→12.8%と変化がなく、降圧薬の治療により、心電図の差室肥大所見が改善することが示されている。
左室肥大があることは何が悪いのだろうか?
Framingham研究のデータでは、35~64歳男性の冠動脈の頻度(/1000人・年:年齢調整)は心電図で左室肥大所見がない人が12.0に対し左室肥大所見があると19.5と高値であり、女性においても5.0に対して9.0と有意に高頻度であった。(Drugs 1986; 31(Suppl 1):S1-11)
40歳以上の住民3220例の心重量を心エコー所見で分類し、4年間追跡調査した研究では、心血管疾患の発症頻度は,90 g/m(身長)未満では男性4.7(/4年間・1000人)、90~114 g/m 7.3、115~139 g/mでは7.5、140以上では12.2と左室筋重量が50 g/m増加すると危険度は1.49へ増加し、女性も同様に左室筋重量の増加に伴い心血管疾患発症の危険性を増し、左室筋重量が50 g/m増加すると危険度は1.57へ上昇した。

New Engl J Med 1990;322:1561-6
http://www.nejm.org/doi/full/10.1056/NEJM199005313222203#t=article
Framingham心臓研究で心エコー上左室頻度は、男性は14%、女性で18%である。人種別にみてみると、アフリカ系米国人の左室肥大の頻度は白人よりも多いが、高血圧の影響と考えられている。Am J Med Sci 1999; 317: 168-75。
心電図と心エコーでは左室肥大を見ている側面が異なる。
心エコー検査で左室肥大があることにより心電図所見とは独立して、総死亡のリスクが1.44、心血管死のリスクが2.38上昇する。心電図異常があると心エコー所見と独立して、総死亡が2.89上昇することが示された。

http://circ.ahajournals.org/content/103/19/2346
突然死の危険因子として循環器病の診断と治療に関するガイドラインが2009年度合同研究班報告として提出され、2010年に改訂版として心臓突然死の予知と予防法のガイドラインが出された。
一般的な危険因子としては、年齢、性別(男>女)、突然死の家族歴、心拍数(>75/分)、生活習慣(喫煙、食事など)、激しい運動、高血圧、糖尿病、左室肥大が挙げられている。
心電図所見に左室肥大とT波異常が同時に存在すると、Framinghamのデータでは5年間の死亡率は男性で33%、女性で21%高値となる。
http://www.j-circ.or.jp/guideline/pdf/JCS2010aizawa.h.pdf
心臓のMRI画像は心臓の動きを映すことができる。左心耳もよく描出できる。
https://www.youtube.com/watch?v=G4dFVeP9Vdo
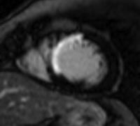
正常な心筋の場合にはMRI造影剤のガドリニウムGdを注入すると、速やかに造影され、洗い出(wash out)されるが、線維化が生じた心筋には造影剤が残り、遅延造営される(10~15分後に撮影)。
適応疾患としては:虚血性心疾患(狭心症、心筋梗塞)、心筋症(肥大型心筋症、拡張型心筋症、不整脈源性心筋症、サルコイドーシス、アミロイドーシス、薬剤性心筋症)、心筋炎、心臓腫瘍、心膜炎がある。
遅延造影所見
臨床症状が大切ではあるが、遅延造影のパターンから虚血性心疾患か非虚血性心疾患に分けることが可能である。
虚血性心疾患の場合には、梗塞が内膜下から進行していくのが特徴的で、遅延造影においてもその病態を描出できる。

非虚血性心疾患の場合には、心筋壁のどこに線維化が起こっているかを反映していると考えられ、それぞれの疾患に特徴的な遅延造影部分がみられることになる。
拡張型心筋症、肥大型心筋症、右室負荷、サルコイドーシスや心筋炎は中層優位に遅延造影を認める。
サルコイドーシス、心筋炎では外膜優位に遅延像を認めることもある。
アミロイドーシス、心移植後では全内膜下に遅延造影を認める。
中隔肥大型心筋症では中隔の部分に、Gdの遅延造影が、心尖部肥大型心筋症では、心尖部にGdの遅延造影がみられる。

http://ikee.lib.auth.gr/record/284925/files/Karamitsos-2009-The%20role%20of%20CMR%20in%20heart%20failure_JACC.pdf
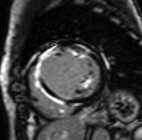
前壁中核心筋梗塞:黒く描出された性状心筋に対して、前壁中核内膜側に遅延造影像を認める。

心臓サルコイドーシス:前壁~中隔外膜側に遅延造影像を認め、線維化した心筋を認める。

http://www.twmu.ac.jp/HIJ/sinryo/care/mri/
スポーツ心臓において線維化が起こらないのかどうかを検討してみたところ
92例中1例においてMRI遅延造影効果が中隔から下壁よりに認められ、心筋症と診断するに至った1例がいた。
参:19歳の症状のないバスケットプレーヤーで症状がなく、心電図変化を認める症例のMRI画像の変化を示す。Baselineでは14mmの後中核壁の肥厚を認めるのみであったが、三か月後の運動中止では心筋壁の変化は認めなかった。造影MRIを行ったところ遅延造影が軽度肥厚した心筋の局所に認められ、肥大型心筋症と診断された。

http://www.acc.org/latest-in-cardiology/articles/2016/03/10/12/50/cardiovascular-magnetic-resonance-imaging-in-the-assessment-of-athletes-with-heart-disease
検査としてのMRIとエコー検査の利点・ふり点を比較してみると下表のようになる。
スポーツ心臓において線維化が起こらないのかどうかを検討してみたところ

この表からみるに、心臓の突然死を予見するために、心筋線維化を確認するために心MRI造影検査を行うことは意味のあることと考える。
スポーツ心臓:スポーツ選手に見られる心拡大と、それによる安静時心拍数の低下といった一過性変化を指す。強度の運動に耐えるための適応と考えられている。
スポーツ心臓と肥大型心筋症を鑑別する必要がある。
10歳台における肥大型心筋症の発症率は高くなく、例え発症していても特徴的な形態変化はきたしていない場合が多く、アスリートハートといわれるスポーツ心臓と肥大型心筋症を鑑別することは容易ではない。
スポーツ心臓の場合には、ハイレベルのトレーニングが持続的に行われていることが必要条件であり、トレーニング中止により心室へ機構の肥大は解消される傾向があり、現在のトレーニング状況を把握することが重要である。
心電図所見はスポーツ心臓でも再分極以上を認めるため、鑑別の根拠とはなりにくい。
スポーツ心臓の場合には、左室肥大はびまん性であり、限局した不均一な肥大は、肥大型心筋症を疑う所見であり、心エコー検査による形態・機能評価を行うべきである。
理論上(La Placeの法則)スポーツ心臓は、容量不可によって拡大した左室内腔の壁応力を代償すべく壁肥厚が増大する機序として、二種類に分けて考えられている。
運動が心臓に与える影響としては、持久性の活動で持続的に心拍出量を増加かせ(安静時の4~5倍に上昇させ、心拍数の著名な増加、一回心拍出量の増大、静脈拡張)、強度の強い活動で繰り返す血圧の上昇(収縮期血圧200mmHg以上、骨格筋の収縮、左室後負荷の増大)がある。

持続性の運動により、軽度から中等度の左室拡大を伴う肥大と右室拡張が起き、強度の強い運動により、中心性の左室肥大や右室のリモデリングが起こる。

左室壁が13㎜以上に肥厚した場合の心エコーによる計測では左室拡張末期径の増大(55㎜以上)を伴うはずである。一方、肥大型心筋症では、通常、病気の進行した末期拡張型心筋症に到った場合を除き、左室拡張末期径は45㎜以下であることが多い。またスポーツ心臓の形態計測での報告では70㎜を超える拡大は稀であり、そのような場合には、拡張型心筋症を疑う必要がある。
http://asecho.org/wordpress/wp-content/uploads/2016/01/athletes-heart-Final-2016-NJW.pdf
アスリートの左室径(白抜きバー)と健常コントロール(黒バー)をプロットしてみると下図のようになる。健常者では54㎜を超えるものはいないがアスリートでは18%が54㎜以上であった。いずれの対象においては左室の収縮や拡張機能には問題なかく、両群間での有意な差はなかった。

女性においても55㎜を超える健常者はおらず、アスリートで55㎜を超えるものは11%であった。

https://www.ncbi.nlm.nih.gov/pmc/articles/PMC1768829/
また、スポーツ心臓における心肥大では、心機能は正常か亢進しているが、肥大型心筋症では左室肥大による拡張機能異常を伴うことが多く、左室流入路血流速度パターン(E波、A波、E/A比)や組織ドップラー法によるEa波、E/Ea比の計測が鑑別に役立つ。


http://www.onlinejacc.org/content/accj/45/8/1322.full.pdf
肥大型心筋症の予後は以下のように分類できる。

http://www.onlinejacc.org/content/58/25/e212
競技中の突然死の死亡原因として
HCM 36%、おそらくHCMと思われるもの8%、冠動脈解剖学的異常17%、心筋梗塞6%、不整脈原性右室心筋症4%、僧房弁逸脱症4%、心筋架橋3%、大動脈弁狭窄3%、拡張型心筋症2%、大動脈弁閉鎖不全2%、サルコイドーシス1%、イオンチャンネル異常1%であった。
参:2016年JACCに掲載された、1994年から2014年に突然失した運動選手連続357例をできる限り組織学的検索を行ったロンドンのある施設での検討をしめす。
平均29歳、男性92%、白人76%、競技中にイベントが起こった症例が69%であった。
突然不整脈死亡症候群(SADS)42%、特発性心肥大/線維症16%、不整脈原性右室心筋症13%、肥大型心筋症6%、冠動脈奇形5%、冠動脈硬化症2%、心筋炎2%、拡張型心筋症1%であった。
若年者においてはSADSの頻度が多く、加齢とともに不整脈原性右室心筋症と特発性心肥大/線維症の頻度が上昇してくるので、定期的な心臓のチェックが必要である。
SADSは心筋症など器質的な心臓病がない不整脈で、ブルガダ症候群、QT延長症候群、特発性心室細動(トルサード・ド・ポアンなど)が含まれる。
http://dobashin.exblog.jp/22794296/

http://www.onlinejacc.org/content/67/18/2108#02062_gr1
突然死の発生頻度を競技別に分けたデータでは、サイクリングが最も多く、次いでジョギング、サッカーと長時間ハードな運動が強いられる競技に集中している。

左室肥大化における心室性不整脈が出るメカニズム
スポーツ心臓の特徴である洞性除脈やWenckebach型房室ブロックは、迷走神経トーヌスの増加はTraining vagotonyとして古くから有名であり、心臓の迷走神経活動の変化によってもたらされると考えられている。
謀体育大学221名の学生におけるホルター心電図上の不整脈の出現頻度と某大学病院での健常者2056名との比較した表を見てみると、除脈性不整脈の頻度が多く、40/分以下の著明な洞性除脈が半数以上に見られている。それに伴う接合部補充収縮・調律や房室解離の頻度も高い。2℃の房室ブロックや同房ブロックの頻度も高いが、期外収縮の頻度は健常者より少ない。

https://www.jstage.jst.go.jp/article/shinzo1969/32/Supplement6/32_162/_pdf
2016年5月7日にブラジルで行われたサッカーのフレンドリーマッチでフリブルゲンセのMFベルナルド・リベイロが試合中に突然倒れ込み、すぐに救急車でスタジアム近くの病院へ搬送されたが、亡くなってしまった。直前の6日にもルーマニア1部デイナモ・ブカレストに所属するカメルーン代表MFパトリック・エケングも試合中の心臓発作でなくなった。
推測ではあるが、代表にまでなる選手は、身体チェックは行われていると考えられるので、事前の状態としては、突然死すると予測されるような不整脈や心疾患の指摘はなかったものと考えられる。
不整脈発生機序に関する研究は動物実験で得られたものであるが、心筋重量の増大に伴い、心内膜側の虚血が生じ、その結果心筋壁へのストレスに伴う不整脈への感受性が亢進する。遺伝的なイオンチャンネルの異常がったり、早期再分極が生じたりすることも影響する。
心筋間質の繊維かが生じた結果、リエントリーが生じやすくなることにより、致死的な不整脈が生じやすくなり、心突然死に到ると考えられる。

https://www.ncbi.nlm.nih.gov/pmc/articles/PMC3596001/
参:肥大型心筋症の肥大パターンを見てみると下図のようになる。


肥大型心筋症の突然死の危険因子としては、失神、肥大心筋の増大、非持続性の心室頻拍、運動時の血圧の上昇が認められないことが挙げられている。

肥大型心筋症の壁肥厚の増大と危険因子の合併で突然死の危険度は上昇する。

file:///F:/2017%E3%80%80%E5%8B%89%E5%BC%B7%E4%BC%9A%E5%8F%82%E5%8A%A0%E8%A8%98%E9%8C%B2/2017.02.22LVH/Freeman-Hypertrophic-Cardiomyopathy.pdf
心臓突然死の予知と予防法のガイドライン(2010年改訂版)





















